Пока на чудо надеяться не стоит, так как имеем печальную статистику, которая сообщает о почти ежедневном росте количества больных COVID-19, которые проявляют в сутки. Далее об этом "ulvovi.info".
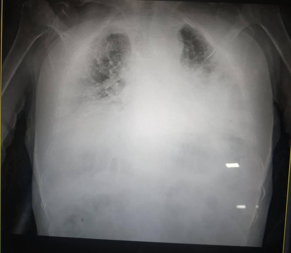
Больных действительно много. Немало и сложных случаев. На днях врачи поделились информацией о том, как же проходит лечение у таких больных. В частности, врач Львовской городской коммунальной больницы скорой помощи предоставила фото, где изображены пораженные коронавирусом легкие. Она добавила, что это самый тяжелый случай в ее практике, ведь легких почти нет - есть сплошное белое пятно. К слову, это медик, работает в больнице долго, и имеет большой опыт работы в этой сфере. Этим в социальной сети поделилась Иринa Зaслaвeц.
Такой жест сделано с целью достучаться до всех людей и помочь им понять, что COVID - на самом деле опасно и может творить страшные вещи в человеческом организме. Поэтому стоит беречь себя и родных от этого и придерживаться всех правил карантина.
Свой комментарий в рамках этой темы дал прoфeсoр Рoмaн Дyткa. По словам медика, во всех сложилось впечатление, что первое, что поражает COVID-19, являются легкие, однако это не так. Прежде всего коронавирус действует на сосуды и прежде всего поражает те, где много кислорода - это сосуды легких. Поэтому изменения в легких спровоцированы не пневмонией, а пневмонитом (патология сосудов), подчеркнул профессор. Именно поэтому всем больным COVID назначают препараты, которые разжижают кровь.
На сегодня, 25 ноября, во Львове выявлено 824 новых случая больных COVID-19. Это не самый высокий показатель по Украине, однако довольно высок. Опережают Львов в этой статистике разве что Днепропетровск, Запорожье, Киев и Одесса.
- 29 просмотров
